妇炎丸
咨询热线 400-027-6696

400-027-6696

  • 网站首页
  • 妇炎丸
  • 疾病和治疗
    支原体、衣原体 输卵管堵塞 输卵管积水 输卵管炎 子宫腺肌症 盆腔炎 子宫内膜炎 子宫内膜增生 宫颈炎 阴道炎 宫颈炎、阴道炎
  • 成功案例
    支原体衣原体案例 子宫腺肌症案例 盆腔炎案例 子宫内膜增生案例 输卵管炎案例 宫颈炎阴道炎案例
  • 疾病新闻
  • 权威认证
  • 门诊公告
当前位置:首页 > 疾病新闻 >
  • 饮食搭配不合理 唯恐患上胆结石
    饮食搭配不合理 唯恐患上胆结石

    人们常说人是铁饭是钢,一顿不吃饿得慌,我们从小听到大的一句俗语,想来也不无道理。然而在饮食搭配上也是...

    发布时间:2015-10-30 阅读全文
  • 莫名胸痛还呼吸困难 竟是胸腔积液惹祸
    莫名胸痛还呼吸困难 竟是胸腔积液惹祸

    出现莫名的胸痛还呼吸困难,很多人会被建议做心电图、胸片、肺功能、肺部CT等相关检查,查看是否有心律失...

    发布时间:2015-10-29 阅读全文
  • 痔疮延误治疗 结果拖出附件炎
    痔疮延误治疗 结果拖出附件炎

    受职业因素的影响,不少久坐久站之人逐渐被痔疮所侵袭,尤其是女性患者多见。但由于医院大部分的肛肠专家都...

    发布时间:2015-10-26 阅读全文
  • 哺乳期腹痛厉害 原是宫外孕大出血
    哺乳期腹痛厉害 原是宫外孕大出血

      产子后不少人会选择母乳,其一是自己哺乳可增加母子间的亲子关系,第二是可增强孩子的抵抗力,其三是...

    发布时间:2015-10-23 阅读全文
  • 流产后反复发热 原来是肺结核作祟
    流产后反复发热 原来是肺结核作祟

      怀孕后女性千小心万小心,但是由于胚胎质量不好或其他病原体感染,或会出现流产现象。流产后除了查明...

    发布时间:2015-10-22 阅读全文
  • 打球后喘气还双腿肿 检查是扩张性心肌病
    打球后喘气还双腿肿 检查是扩张性心肌病

      对于酷爱运动的人来说,每天持续不间断的运动,已经成为一种习惯。这对于酷爱打球的张先生来说,每天...

    发布时间:2015-10-21 阅读全文
  • 爱吃鸡蛋的她 吃出胆囊结石还是多发结石
    爱吃鸡蛋的她 吃出胆囊结石还是多发结石

      鸡蛋比较滋补,因此产后都会弄鸡蛋给月子里的产妇补身体。可是再好的滋补品,也是需要有个度,千万不...

    发布时间:2015-10-20 阅读全文
  • 红痣越长越大如同肿瘤 “本身”竟是血管瘤
    红痣越长越大如同肿瘤 “本身”竟是血管瘤

      身体长痣有胎记不是什么奇怪事情,若是无痛不痒、不持续长大不影响五官面貌以及日常生活都不要紧。但...

    发布时间:2015-10-19 阅读全文
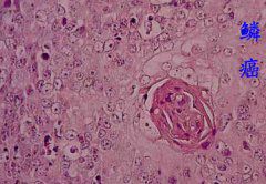
  • 疤痕出现“菜花状”肿块 检查发现是鳞癌
    疤痕出现“菜花状”肿块 检查发现是鳞癌

      因为一些事故或意外,被烧伤的人不再少数。烧伤后除了积极的治疗外,后期还需要接受一定的整形手术,...

    发布时间:2015-10-15 阅读全文
  • 怀孕做孕检 B超发现胎儿和卵巢囊肿并存
    怀孕做孕检 B超发现胎儿和卵巢囊肿并存

      结婚后最迫不及待的就是怀孕,享受怀孕后女王般的待遇。然而,在享受待遇前,孕期检查还是不可缺少的...

    发布时间:2015-10-13 阅读全文
< 1 ... 67 68 69 70 71 ... 113 >
治疗范围/ Treatment scope
支原体、衣原体 输卵管堵塞 输卵管积水 输卵管炎 子宫腺肌症 盆腔炎 子宫内膜炎 子宫内膜增生 宫颈炎 阴道炎 宫颈炎、阴道炎
妇炎丸/ Fuyan pills
  • 妇炎丸为什么要制成丸剂
    妇炎丸为什么要制成丸剂
  • 支原体感染治疗周期多久?
    支原体感染治疗周期多久?
  • 子宫腺肌症会影响排卵吗
    子宫腺肌症会影响排卵吗
  • 妇炎丸能治疗支原体吗
    妇炎丸能治疗支原体吗
成功案例/ Success Testimonials
  • 分泌物多,两个疗程治疗十多年支原体感染
    分泌物多,两个疗程治疗十多年支原体感染
    2024-07-12 17:45:16
  • 久备不孕查出解脲支原体阳性,妇炎丸治疗一个疗程
    久备不孕查出解脲支原体阳性,妇炎丸治疗一个疗程
    2023-12-13 11:12:08
  • 白带多且黄、外阴痛,三个疗程治疗沙眼衣原体感染
    白带多且黄、外阴痛,三个疗程治疗沙眼衣原体感染
    2023-03-21 14:53:13
  • 女性输卵管慢性炎症伴积水,男性附睾炎,经妇炎丸、利尿消炎丸治疗后怀孕
    女性输卵管慢性炎症伴积水,男性附睾炎,经妇炎丸、利尿消炎丸治疗后怀孕
    2022-11-15 15:25:50
联系我们/ contact us

门诊地址(Add):武汉市洪山区洪山街南湖新城家园商业2栋2-2号

Copyright 2010-2025 武汉李医生门诊 版权所有

鄂公网安备 42011102000714 鄂ICP备2021009464号-3

医疗广告审查证明文号: (武卫键) 医广【2023】第06-05-06 号

本网站信息仅供参考,不能作为诊疗及医疗依据

  • 在线咨询
  • 热线电话
    400-027-6696
  • 微信咨询